Traditional Dentistry
FIXED DENTURES
MOBILE DENTURES
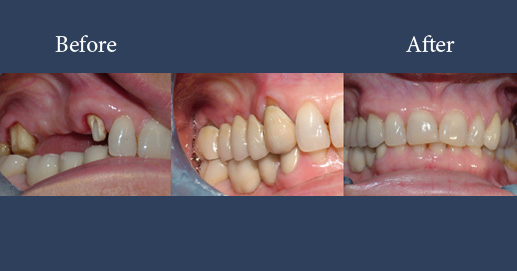
FIXED DENTURES.
EXTREME NATURALNESS IN TREATMENT.
Fixed dentures rebuild teeth that are irreversibly damaged by means of crowns or caps.
When the denture is fixed, it is supported by two or more natural teeth, whereas a bridge is used to replace the missing teeth.
Today, fixed dentures are usually made with an inner support from a metal alloy or zirconium coated with ceramic on the outside.
These materials, at present, are those which most imitate teeth naturalness and simultaneously provide excellent functionality and hardness.
Indeed, a perfect fixed denture can hardly be distinguished, both aesthetically and functionally, from natural teeth.
MOBILE DENTURES.
WE ALWAYS HAVE A SMILE FOR EVERYONE.
Mobile dentures replace one or more missing teeth. Of course, they can be inserted into and removed from the oral cavity directly by the patient.
If some teeth are present, the mobile denture can stay stable thanks to hooks acting on the patient’s natural teeth.
On the other hand, if the patient’s mouth is completely devoid of teeth, the mobile denture rests and stands on the mucous membrane that covers the bone arches.
Our practice has always attached great importance to the choice of materials to be used to achieve the maximum functional, cosmetic and masticatory stability as well as to prevent any allergic reactions by the body..



