Традиционные стоматологии
НЕСЪЕМНЫЕ ПРОТЕЗЫ
СЪЕМНЫЕ ПРОТЕЗЫ
НЕСЪЕМНЫЕ ПРОТЕЗЫ.
ЛЕЧИМ С МАКСИМАЛЬНОЙ ПРОСТОТОЙ И ЕСТЕСТВЕННОСТЬЮ.
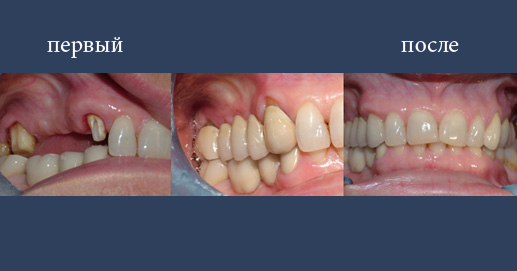
Несъемный протез позволяет восстановить безвозвратно поврежденные зубы с помощью коронок или капсул.
Когда протез фиксируется на двух и более собственных зубах для замены недостающих зубов, используется мостик.
На сегодняшний день несъемные протезы в основном изготовляются из металлического сплава или циркония, покрытых керамикой.
На данный момент эти материалы являются наиболее близкими к натуральным зубам, имея в то же время превосходные характеристики по функциональности и твердости.
И действительно, несъемный протез, изготовленный по всем правилам, является практическим неотличимым от натуральных зубов как с эстетической точки зрения, так и с функциональной.
СЪЕМНЫЕ ПРОТЕЗЫ.
У НАС ВСЕГДА ЕСТЬ УЛЫБКА ДЛЯ КАЖДОГО.
Съемные протезы заменяют один или больше недостающих зубов, и, конечно же, могут вставляться и выниматься пациентом самостоятельно.
В случае наличия некоторых зубов, съемный протез может удерживаться с помощью крючков, которые крепятся на зубах.
В случае если у пациента полностью отсутствуют зубы, съемный протез устанавливается и удерживается на слизистой, которая покрывает костяные арки.
Во все времена в нашем исследовании мы уделяем особое внимание выбору используемых материалов для того, чтобы получить максимальный уровень стабильности функциональной, эстетической и жевательной, а также чтобы предупредить возможные аллергические реакции организма.
.



