Эстетическая стоматология
ЕСЛИ ТЫ УЛЫБАЕШСЯ И ЖИЗНЬ УЛЫБНЕТСЯ ТЕБЕ.
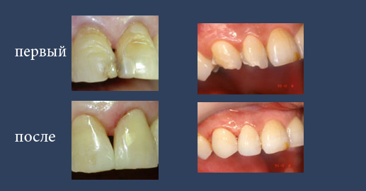
Уметь носить с достоинством свой возраст это очень редкий и ценный дар, который заряжается от внутреннего мира и от способности ценить то, что ты есть и, то, что у тебя есть. Забота о себе означает желание демонстрировать окружающим не свой паспортный возраст, а то, на сколько лет мы себя чувствуем. Стоматология отвечает ростом внимания к эстетическим запросам: улыбка это наша визитная карточка, наиболее прямой способ выражения энергии и позитива. Но эстетическая стоматология идет еще дальше, совмещая эстетические нужды и нуждами здоровья, путем поиска более рафинированных техник, инструментов и материалов.



