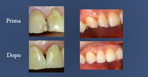
Odontoiatria Estetica
CON UN BEL SORRISO ANCHE LA VITA TI SORRIDE.
Saper portare con eleganza i segni del tempo è una dote rara e preziosa che si nutre della ricchezza interiore e della capacità di apprezzare quello che si è e ciò che si ha.
Prendersi cura di sé significa però anche accogliere il desiderio sempre più diffuso di mostrare agli altri gli anni che ci si sente e non quelli riportati sulla carta d’identità.
L’odontoiatria risponde così, con crescente attenzione e sensibilità, alle richieste
estetiche: infatti il sorriso è il nostro “biglietto da visita” e, insieme, il modo più diretto per esprimere energia e positività.
Ma l’odontoiatria estetica va oltre, coniugando le esigenze della salute con quelle della bellezza mediante la ricerca di tecniche, strumenti e materiali sempre più raffinati.



