Odontoiatria Tradizionale
ENDODONZIA: PER RISOLVERE ALLA RADICE OGNI PROBLEMA.
Quando la carie intacca in profondità la polpa dentaria, chiamata nervo nel linguaggio comune, è necessario procedere ad un trattamento endodontico o canalare (devitalizzazione) che prevede la rimozione del tessuto sia a livello della corona, che a quello delle radici.
Le terapie endodontiche risultano perciò fondamentali perché permettono di riportare in salute denti che altrimenti verrebbero estratti.
Dopo aver effettuato l’anestesia locale, si procede alla rimozione del tessuto e ad un’accurata sagomatura dei canali radicolari che vengono puliti attentamente con speciali irriganti con potente azione antibatterica.
Infatti, solo un canale radicolare pulito e ben disinfettato può accogliere l’otturazione con ottime percentuali di successo a lungo termine.
Il tessuto rimosso dai canali radicolari viene, quindi, sostituito con materiali di riempimento termoplastici (cioè modellabili con il calore) e con cementi che servono da collante tra il dente ed il materiale utilizzato per l’otturazione.
L’utilizzo congiunto del materiale termoplastico e del cemento riempie completamente e tridimensionalmente i canali radicolari sigillando così tutti gli spazi residui ed eliminando la presenza di spazi vuoti che potrebbero, in seguito, essere colonizzati dai batteri.
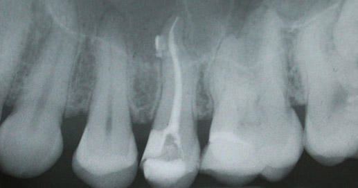
Per verificare la completezza dell’otturazione, che deve arrivare fino all’apice della radice, viene effettuato anche un controllo radiologico.
Si procede, infine, al restauro definitivo del dente o con una ricostruzione diretta, simile cioè a una normale otturazione, o con una ricostruzione indiretta nel caso in cui il dente necessiti di una copertura protesica (intarsio, corona metallo-ceramica, corona in ceramica integrale, ecc.).
E’ importante evidenziare che, grazie all’anestesia locale, il paziente non avverte il benché minimo dolore durante tutta la terapia, solo in seguito potrebbe verificarsi un lieve indolenzimento che sarà, comunque, di breve durata.



