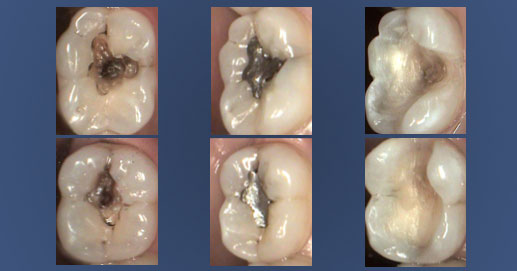
Mercurio e leghe dentali
UNA TOSSICITA’ CHE VA NEUTRALIZZATA.
Purtroppo il mercurio viene tutt’oggi utilizzato spesso nell’amalgama dentale: un composto che viene impiegato per realizzare le otturazioni.
Dal cavo orale il mercurio viene però rilasciato continuamente - sia in forma di vapori che di microparticelle - e attraverso polmoni e stomaco arriva ai vari organi (reni, fegato, ghiandole endocrine, cuore e sistema nervoso centrale) causando un avvelenamento lento e continuo.
Il mercurio ha, inoltre, un grado elevato di tossicità sia per il sistema immunitario, che per il funzionamento dell’intero organismo.
Oggi il numero delle otturazioni realizzate ancora in amalgama è decisamente eccessivo: infatti, al di sopra delle 2 otturazioni in amalgama, c’è un’assunzione di mercurio superiore alla soglia stabilita dall’OMS (Organizzazione Mondiale della Sanità).
E’ quindi assolutamente necessario verificare, mediante strumenti diagnostici innovativi, il livello di mercurio presente nel nostro organismo per procedere poi a sostituire gradualmente le otturazioni realizzate in amalgama con composti di origine biologica.
Metodi diagnostici in uso:
1) METALTEST: si effettua su un campione di urina e serve ad accertare la presenza di mercurio in relazione ai valori normalmente accettabili.
2) AMALGAMOMETRO: è uno strumento che, attraverso differenze di potenziale, valuta la quantità di pericolo determinato da una certa otturazione di mercurio.
LA RIMOZIONE SEQUENZIALE PROTETTA DELL’AMALGAMA DI MERCURIO.
ACCRESCERE LA SICUREZZA PER AZZERARE OGNI RISCHIO.
La rimozione delle otturazioni in amalgama richiede un’attenzione speciale perché prevede l’utilizzo del trapano ed è, quindi, a rischio di vaporizzazione del mercurio e di conseguente esposizione ai rischi di un’intossicazione.
E’ perciò assolutamente necessario applicare il cosiddetto “Protocollo di rimozione protetta” focalizzato su 3 elementi: il trapano, la tecnica di enucleazione, l’aspirazione diretta sull’otturazione (tipo “cappa” dei vapori).
Il Trapano.
L’utilizzo di una fresa morbida e del moltiplicatore di giri permette di ottenere un taglio solo minimamente abrasivo.
La tecnica di enucleazione.
L’otturazione in amalgama viene rimossa come se si togliesse la pietra da un anello, cioè intera. Grazie a questa tecnica, l’amalgama viene rimossa intera nel 70% dei casi, mentre nel restante 30% si combina l’approccio iniziale con il “Protocollo Svedese”, ovvero si toglie l’amalgama restante per frantumazione in pezzi grossolani.
L’aspirazione diretta sull’otturazione.
Durante la rimozione una cannula di ampio diametro, collegata ad una potente aspirazione chirurgica, viene mantenuta in contatto con il dente.
L’aspiratore può essere incappucciato con “Clean-up” ed agire così da cappa aspirando fino al 90% dei vapori di mercurio.
Oltre a questi elementi essenziali il Protocollo prevede anche l’utilizzo di una diga di gomma che separa il cavo orale dal dente su cui si lavora.
Inoltre, gli occhi vanno protetti sia con garza bagnata, sia con occhiali protettivi per evitare l’esposizione diretta ai vapori di mercurio che si sprigionano durante la rimozione.
Infine, anche l’aria dello studio dentistico deve essere costantemente trattata mediante un apposito sistema di filtrazione.



