Implantologia impianto iuxtaosseo


L’IMPIANTO IUXTAOSSEO IERI E OGGI

Fornire la migliore soluzione ad ogni tipo di problema ci spinge a migliorare, a sperimentare e ad innovare i nostri protocolli, specialmente quando si parla di impianti, un ramo in cui “personalizzazione” è sinonimo di “efficacia”.
L’implantologia iuxtaossea, l’installazione di un impianto che si appoggia direttamente all’osso, si è affermata negli anni come un’alternativa a quella di tipo endosseo, in cui le viti vengono invece posizionate all’interno delle ossa del paziente.
Questo genere di intervento è una soluzione a quei casi in cui la percentuale di osso residuo non è sufficiente per applicare un impianto di tipo tradizionale.
A differenza dell’implantologia tradizionale, quella iuxtaossea sfrutta l’appoggio ad una struttura ossea nella sede sottoperiostale (il periostio è una membrana di tessuto connettivo che avvolge tutte le ossa del corpo umano) piuttosto che la sua integrazione all’interno di essa, è dunque paragonabile a un’implantologia di tipo chirurgo-ortopedico.
Il processo negli anni si è evoluto sempre più: oggi, grazie all’avvento delle tecnologie digitali nel settore odontoiatrico, si è assistito a un notevole miglioramento degli interventi di implantologia, la possibilità di effettuare esami tomografici precisi e la loro conseguente elaborazione è uno dei pre-requisti fondamentali per il successo dell’intervento. Dall’altro lato l’esperienza appresa dal passato ci è servita per poter ipotizzare un nuovo scenario di trattamento rivisitato alla luce delle recenti acquisizioni tecnologiche.

TECNOLOGIA E PROFESSIONALITÀ A SERVIZIO DEL RISULTATO

Lo sviluppo tecnologico degli ultimi anni si mette al servizio del paziente per un risultato eccellente.
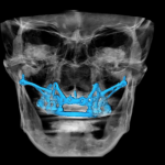
Le immagini ottenute dell’ortopantomografia delle arcate e della tomografia ad alta risoluzione sono inviate a centri di fresaggio, i quali forniscono un modello 3D della struttura ossea, in questo modo l’impianto viene totalmente customizzato su misura del paziente.
A questo punto entrano in campo le competenze dei nostri clinici, che pongono la loro professionalità a servizio della creazione di una struttura in grado di adattarsi perfettamente all’anatomia del paziente e di sostenere il carico protesico.
A differenza dell’implantologia endossea, con quella iuxtaossea gli strumenti implantari vengono costruiti su misura, il ruolo dell’implantologo viene nobilitato e, allo stesso modo, anche al clinico viene richiesta una maggiore conoscenza anatomica e funzionale dei mascellari.

EAGLE GRID

Eagle Grid è la soluzione pensata per pazienti il cui residuo osseo non è sufficiente per effettuare un impianto tradizionale.
Partendo dal titanio, che da anni rappresenta il materiale per eccellenza in implantologia, grazie alla sua biocompatibilità con l’osso e la pressoché assenza di fenomeni allergenici, progettiamo una struttura metallica (griglia) che faccia da supporto all’impianto.

La griglia viene dunque costruita sullo stampo osseo della bocca del paziente, garantendo un prodotto personalizzato e perfettamente compatibile.
I vantaggi del protocollo Eagle Grid sono chiari ed immediati, esso è in grado di risolvere casi di totale mancanza dentale e di ripristinare i denti in isolati settori della bocca, inoltre dà la possibilità di utilizzare subito una protesi provvisoria cementata direttamente sui monconi della griglia. Infatti, a differenza dell’implantologia tradizionale, che richiede un minimo di 3-4 mesi prima di tornare ad avere piena facoltà, con Eagle Grid i punti vengono tolti una settimana dopo l’intervento che viene svolto in ambiente ambulatoriale, un’operazione la cui invasività è minima e in cui il dolore è completamente controllato.
Eagle Grid si pone dunque come un prodotto innovativo, nato dalla professionalità di un team in grado di collaborare in tempo reale e con la massima efficienza, dall’esame tomografico all’intervento chirurgico.