Odontoiatria Estetica
UN SORRISO SANO NON PERDE MAI IL SUO SMALTO.
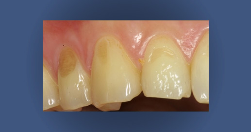
L’erosione da acidi è l’indebolimento e la perdita graduale dello smalto dei denti.
Infatti, ogni volta che mangiamo o beviamo qualcosa di acido (succhi di frutta, bevande gassate, vino…) la superficie dello smalto diventa più morbida ed è più vulnerabile all’azione dello spazzolino.
In questi ultimi anni, purtroppo, l’alimentazione è cambiata ed ha portato ad un maggiore consumo di alimenti acidi.
L’erosione non si può però notare ad occhio nudo e solo un dentista esperto può riconoscere l’assottigliamento dello smalto: un campanello d’allarme potrebbe però essere una leggera sensibilità ai cibi caldi o a quelli freddi.
Il consiglio è dunque quello di sottoporsi ad una visita dentistica per valutare lo stato di salute dello smalto.
Non è affatto detto che sia necessario rinunciare ai cibi acidi, più semplicemente sarà sufficiente rispettare alcuni consigli come, per esempio, quello di bere con una cannuccia, di inghiottire la frutta subito dopo averla masticata, di lavarsi i denti subito dopo aver consumato cibi acidi.



